
During every visit, you will be cared for by our highly trained dental professionals who are committed to delivering top-quality dentistry in a comfortable, welcoming environment. Our team focuses on preventing dental problems before they start through thorough exams, cleanings, and personalized oral health education. When treatment is needed, we use modern techniques and advanced technology to address current dental conditions efficiently and gently.
At Dream Smile Team, we believe in individualized care. Each treatment plan is tailored to your unique dental needs, goals, and lifestyle, ensuring you receive the right care at the right time. Whether you’re maintaining a healthy smile or seeking solutions for more complex dental concerns, our team is dedicated to helping you achieve long-term oral health.
If you’re looking for a trusted family dentist in Spring, TX who offers comprehensive dental services under one roof, Dream Smile Team is here to care for you and your loved ones every step of the way.
Cosmetic Dentistry
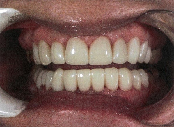
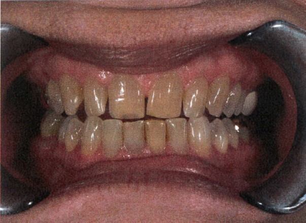
A beautiful smile is one of the most sought after cosmetic features in the world. People from all backgrounds and professions want a bright, straight smile, and we are here to help turn that desire into reality. Whether through minor adjustments or major treatment plans, our cosmetic dentistry practice aims to improve your smile and help you build confidence in the way your teeth look.

Dental Technology
Our staff at Dream Smile Team is proud to offer the best state-of-the-art dental technology right here in our office in Spring, TX . We understand that the newest technology can make a huge difference and that is why we invest in advanced dental technology. We are committed to staying at the forefront of dental techniques.
We offer advanced and innovative procedures like dental implant restoration, Invisalign invisible braces, and much more. This allows us to provide you with the dental care that you are looking for and deserve.

General Dentistry
Helping our patients maintain a healthy mouth and smile is the main goal of general dentistry. We prefer to provide more minor, preventive care than to see patients suffer with more intensive treatments from a problem that was not managed in time. We want to ensure that your oral health is in its optimal state and positively contributing to the health of your entire body. We are here to brighten your smile and pave the way for a brighter life.

Periodontal Services
Periodontics is a specialized branch of dentistry that focuses on the prevention, diagnosis, and treatment of periodontal disease as well as the process of replacing teeth with dental implants. Periodontists receive up to three years of additional, specialized training in treating periodontal disease and other conditions.
Periodontists are also specialists in treating oral inflammation and any condition requiring either non-surgical treatment or oral plastic surgery. Oftentimes, periodontists are treating conditions caused by periodontal disease and its effects such as persistent bad breath or gum recession.

Restorative Dentistry
Dream Smile Team is committed to offering a full range of dentistry services. Whether you’ve had repairs or need a complete replacement, we recommend continual check-ups to assess your gums and bone density to assess the surrounding areas associated with your implant.

Sedation Dentistry
We fully understand that many people are anxious about visiting the dentist. Since we don’t want fear to hold you back from getting the dental care you need, we offer sedation dentistry to improve your experience. Sedation dentistry allows you to relax while we perform a dental treatment. At the same time, you will remain conscious and aware of your surroundings. Instead of avoiding dental procedures, ask us about sedation dentistry.
Your Trusted Dentist in Spring, TX
Dream Smile Team provides comfortable, modern dental care for patients of all ages.
Whether you’re scheduling a routine visit or exploring treatment options, our team is here to help.
📍 5258 Louetta Rd. Suite 100, Spring, TX 77379
📞 (281) 893-4746


