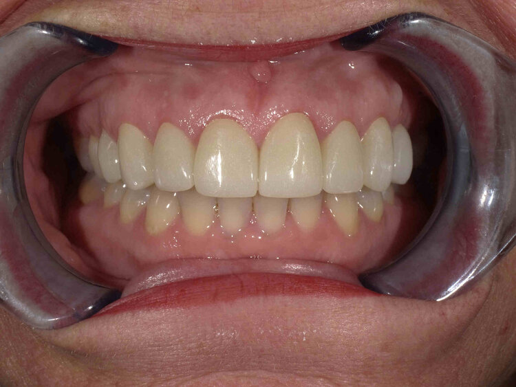
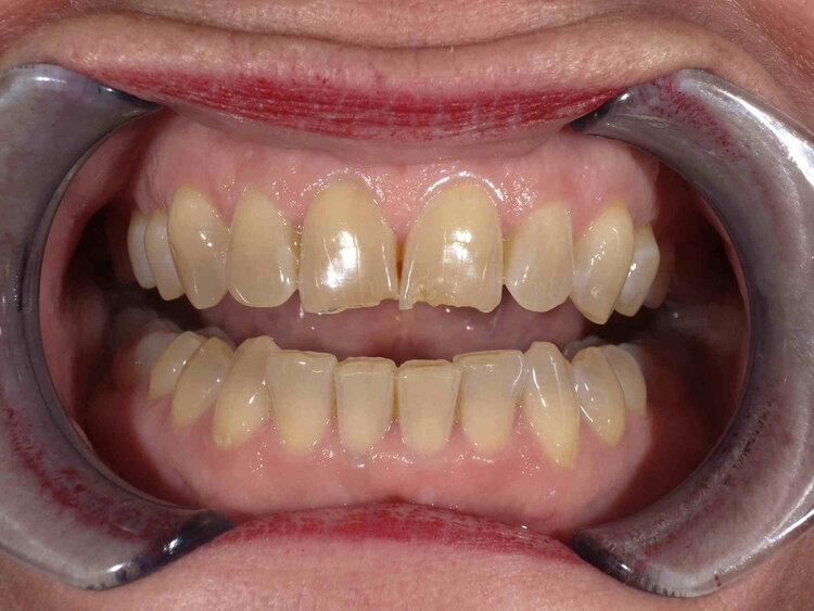
Before
After10 upper dental veneers
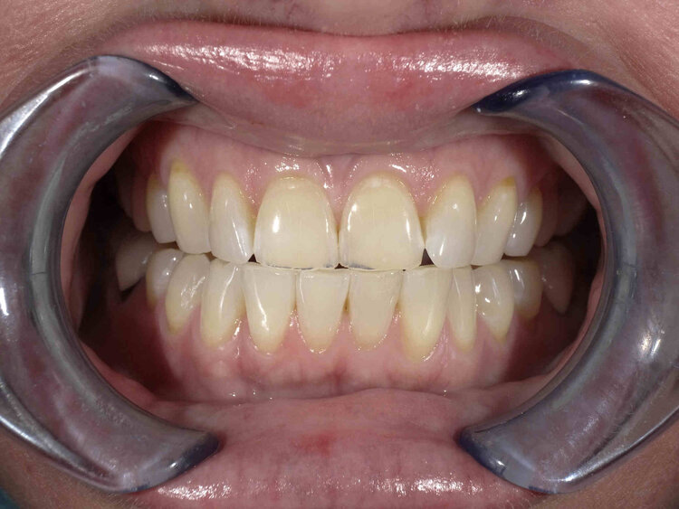
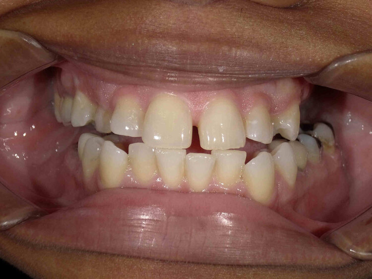
Before
After8 upper dental veneers
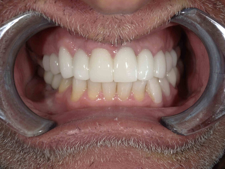
Before
After8 upper dental veneers
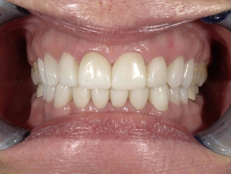
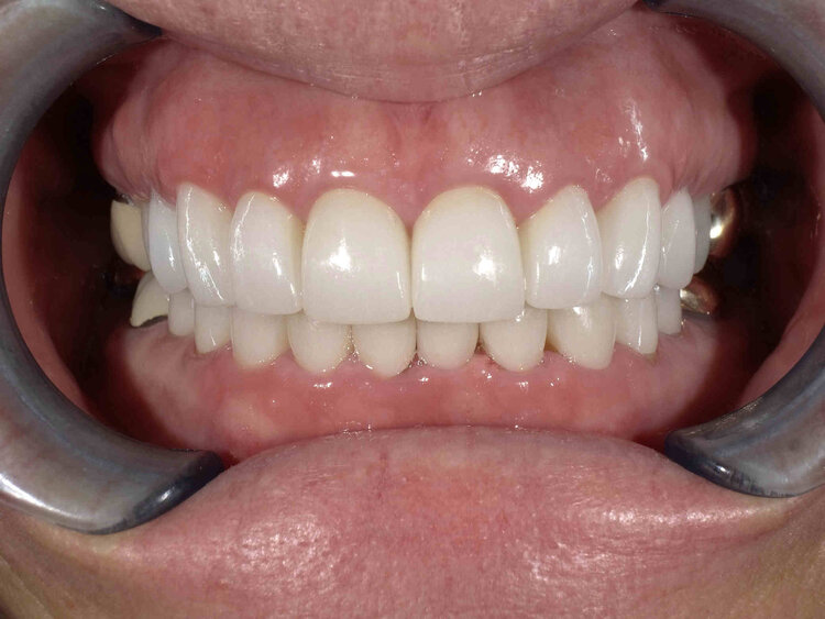
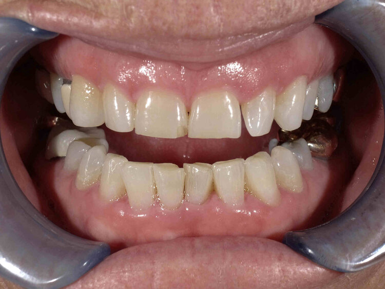
Before

12 upper and 12 lower dental veneers
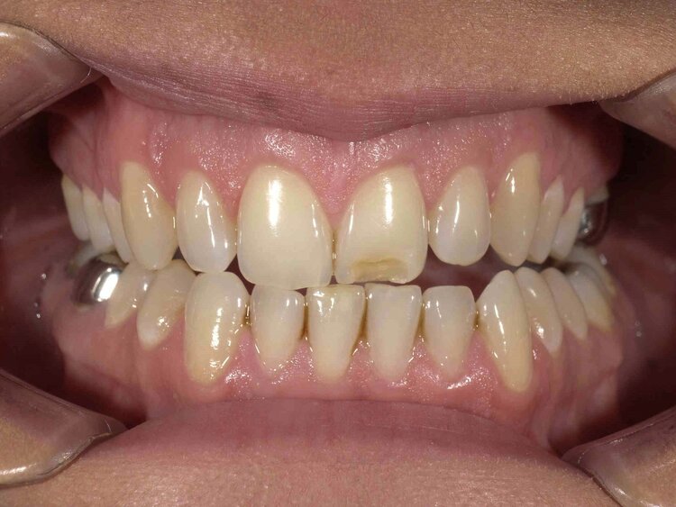
Before

6 upper dental veneers


8 unit dental bridge
Before

4 upper dental veneers
Before

6 upper dental veneers


8 upper and 10 lower dental veneers
Before

8 upper and 10 lower dental veneers
Before

4 upper dental veneers
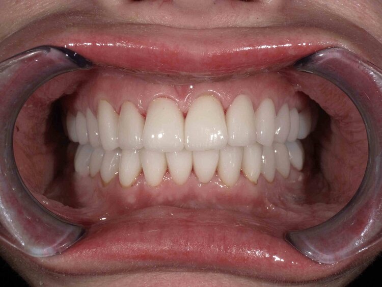
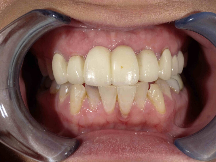
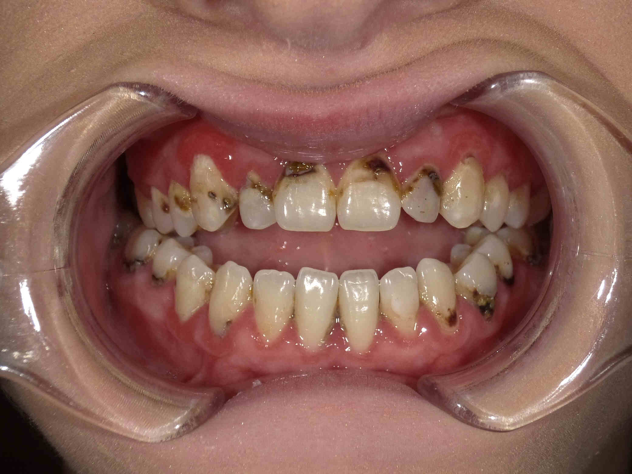
Before
AfterFull mouth cosmetics
Your Trusted Dentist in Spring, TX
Dream Smile Team provides comfortable, modern dental care for patients of all ages.
Whether you’re scheduling a routine visit or exploring treatment options, our team is here to help.
📍 5258 Louetta Rd. Suite 100, Spring, TX 77379
📞 (281) 893-4746


